전방십자인대파열 MRI 결과비교
관리자
| 2010.07.22
| 3227
내측 외측 인대 파열
관리자
| 2009.05.20
| 1714
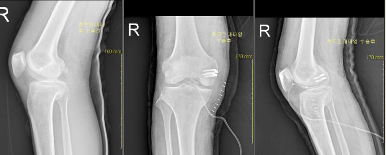
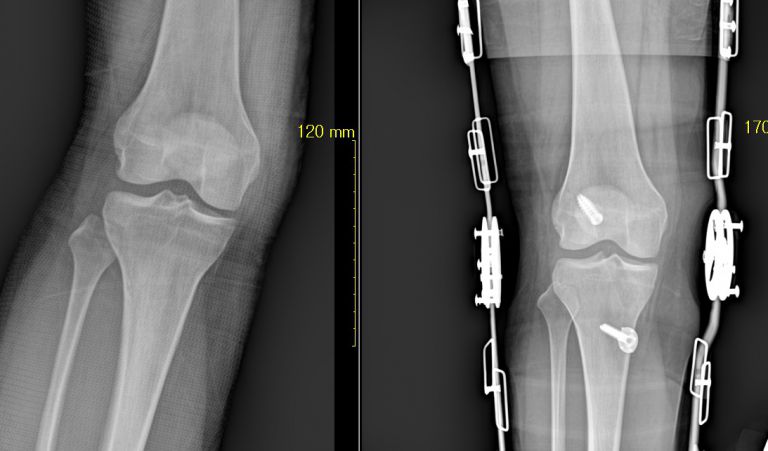
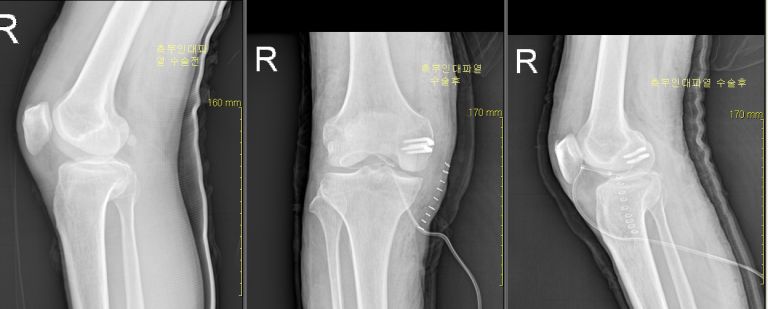
슬관절 내측 또는 외측인대 파열 수술
관리자
| 2009.04.15
| 1524
관절 내시경 시술
관리자
| 2008.11.10
| 2086
전방십자인대파열 복원술
관리자
| 2008.11.07
| 2337
반월상 연골판 파열
관리자
| 2008.10.22
| 1617
관절내시경 사진
관리자
| 2008.10.22
| 1865